Knee Arthroscopic Surgery, Articular Cartilage Repair, Stem Cell Therapies, ACL Reconstruction, Joint Replacement
Home Knee Imaging Knee Problems Sports Knee Injuries Rehabilitation Pain Management CKC News
 

Knee Imaging: MRI Gallery

Clck here for a printer friendly version


We are still working on this page which contains a selection of original knee MR images from our clinical practice. Please note that all MR images are property of Chester Knee Clinic and as such should not be copied or used for publications without our express permission. If you wish to use any of the images on this page for educational presentations please email your request to: office@kneeclinic.info.

Pinterest MR Image Board

We are pleased to announce that we started posting a selection of original arthroscopic and MR images from our daily clinical and surgical practice on Pinterest and Twitter. All images are anonymous and are intended to provide good quality visual information on typical knee problems but also normal knee anatomy, for educational purposes. We will aim to Tweet a few selected images each week but all images will be available on Pinterest CKC MRI board. We may post some images on Instagram but we will see how things go with Pinterest. Please let us know your thoughts (office@kneeclinic.info).


Normal Knee

 

Normal Cruciate Ligaments. CKC MRI

Normal cruciate ligaments

 

 

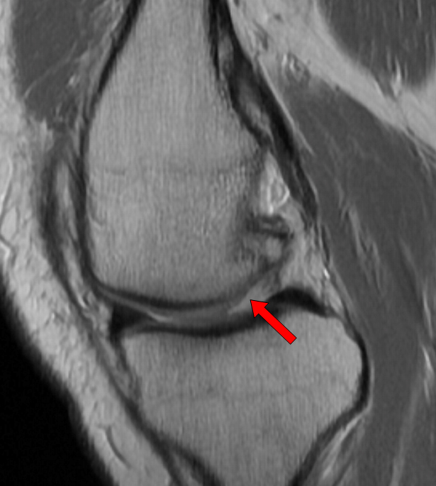
Normal articulating surfaces

 


Meniscal Tears

 

Torn Medial Meniscus. CKC MRI

Horizontal tear of the posterior horn of the medial meniscus with a cyst

Complex horizontal lateral meniscal tear

 


ACL Tears

 

acl

acl

 


Cysts and Bursae

 

Large Baker's Cyst with PVNS

Large Baker's cyst with PVNS

cyst

 

Septated Baker's Cyst

Septated Baker's Cyst

ACL graft tibial cyst

ACL Graft Tibial Cyst

 


Articular Cartilage

 

cartlage

cartilage

 

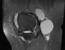
Subtle MFC chondral defect

Subtle chondral defect of the MFC

cartilage

 

cartilage

cartilage

 


Subchondral Changes

 

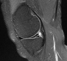
MFC Bone Marrow Oedema and Subchondral Cyst

MFC Subchondral Oedema and Cyst

bme

 

bme

bme

 

bme

bme

 


Patello-femoral Joint

 

Patella Alta

Patella

 

Patella

Patella

 


Osteosarcoma

 

image

image

 


Popliteal Artery Aneurism

 

 

Popliteal Artery Aneurism

 

Popliteal Artery Aneurism


This page was launched on 21 February 2010.